J9集团国际

【先见·E术家】G刻启程 一马当“先”| 先健G-Branch上市后全国首批植入@浙一张鸿坤教授团队

发布时间:2026.02.09
返回列表

77ebacc7-be1b-44eb-83d7-f6463d836edc(1).jpg


解放军总医院第一医学中心、G-Branch 联合发明人郭伟教授表示:“一项创新,不只是救治一个病人,它改变的是一项规则。”

 

“多项数据表明,G-Branch解决了近半个世纪以来胸腹主动脉瘤外科手术死亡率高、并发症高的问题,它是对传统外科技术的一种颠覆,必将形成新的临床治疗标准。”

 

595b0362-70c2-4676-8512-7e8eac49b84d.png


胸腹主动脉瘤(TAAA)是主动脉瘤中最复杂、外科手术创伤级别最高的病变类型之一。一旦破裂,死亡率高达95%。传统开放手术需胸腹联合切口,创伤巨大,风险极高,术后并发症发生率高达30%。因此,如何实现微创、安全、有效的治疗,一直是全球血管疾病诊疗领域的焦点。

 

G-Branch是全球首创胸腹主混合多分支支架型血管系统,由中国人民解放军总医院第一医学中心郭伟教授与先健联合研发,专为TAAA设计,开创性实现内脏区分支全腔内重建的系统性解决方案。该产品于2025年11月获NMPA批准重磅上市,为全球患者带来了突破性的"中国解法”。

 

为深入探索胸腹主动脉瘤的全腔内治疗策略,分享中国原创的临床智慧与技术成果,特开设【先见·聚焦内脏分支全腔内重建】病例专栏。本专栏以G-Branch的临床实践为典范,通过真实、复杂的病例,深入剖析治疗难点,展现技术细节,为全球血管介入同道提供可借鉴、可复制的“中国经验”。

 

本期为大家带来浙江大学医学院附属第一医院张鸿坤教授团队应用G-Branch治疗扭曲巨大IV型胸腹主动脉瘤一例,诚邀各位同道阅读、交流与探讨,共同见证我国高端医疗“医工融合”创新成果为危重疾病治疗带来的颠覆性突破!

 

20156642-c59e-4166-9690-578584293343.png

 

病例情况


性别:男    

年龄:83岁

主诉:头晕8小时余

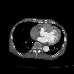
现病史:患者8小时前无明显诱因下出现头晕伴恶心呕吐,呕吐物为胃内容物,无视物旋转,无呕血黑便,无胸闷气促,无胸痛,遂至当地医院就诊查。CTA提示主动脉瘤,腹主动脉多发钙化,胸主动脉多发钙化斑块。

既往史:高血压数年,心脏病史

 

▶  术前影像学资料

 

  5c549075-50bb-41db-9d60-5662ed0469a1.gif  e5edd328-bd56-4f7f-a80d-3e467b144548.gif


手术方案

 

病例特点:

IV型胸腹主动脉瘤,瘤颈和双侧髂动脉严重扭曲,瘤体巨大,内脏分支血管开口角度倾斜

 

手术方案选择:

采用G-Branch胸腹主动脉覆膜支架隔绝瘤体,重建内脏区分支。主体使用TAAA3418120e7i1010,腹腔干和肠系膜上动脉分别植入直径10mm覆膜支架,右肾直径6mm支架,左肾直径7mm支架

 

 

手术过程


1. 患者平卧位,麻醉成功后,留置导尿,常规术野消毒铺巾。左侧肘部切开,暴露左侧肱动脉,置入6F鞘。双侧股动脉穿刺,分别置入10F鞘,全身肝素化。

 

2. 左侧肱动脉入路,超选至降主动脉,更换8F-900mm长鞘,造影提示IV型胸腹主动脉瘤,累及双肾动脉。

 

compressed_1770972515230.gif


3. 经右股动脉导入超硬导丝,然后导入先健G-Branch 胸腹主动脉主体覆膜支架TAAA3418120e7i1010 一枚,释放主体支架至内分支打开,然后经左侧肱动脉入路,抓捕预置导丝成功后,将长鞘进入内分支出口处。  

 

2.gif


4. 经长鞘导入导管后,超选入腹腔干动脉,送入先健覆膜支架10*80mm一枚,近端重叠内分支,远端重叠腹腔干动脉,并予以10mm球囊后扩,手推造影显影良好。

 

3.gif    

    


5. 撤出腹腔干导丝导管,经左肱动脉长鞘继续抓捕预置导丝将长鞘超选至另一侧内分支,后超选进肠系膜上动脉,沿导丝送入先健覆膜支架10*100mm一枚,近端重叠内分支,远端重叠于肠系膜上动脉,并予以10mm球囊后扩,手推造影显影良好。

 

    8.gif

    


6. 解除束径,打开近端后释放,经肱动脉长鞘超选支架外分支,并进一步超选右侧肾动脉,交换加硬导丝,送入覆膜支架6*50mm和7*60mm各一枚,并予以球囊后扩张,手推造影显影良好。

11.gif    12.gif

    

     


7. 经长鞘重新选入左侧外分支,并超选进左肾动脉,沿导丝送入外周血管覆膜支架7*60mm一枚,并予以球囊后扩张,手推造影显影良好。

17.gif    


8. 从右侧股动脉入路送入腹主支架AB-24-12-110-S,近端重叠胸腹主动脉支架远端,调整好支架位置后释放。

 

9. 经左股动脉送入导丝导管,超选进腹主动脉支架短腿内,后沿导丝送入髂支,同理,右侧沿导丝送入髂支并释放,使用先健顺应性球囊后扩各支架连接处及支架近远端,最后通过预留导管向瘤腔注入人纤维蛋白粘合剂数支,造影显示分支通畅。

19.gif

术后评价


G-Branch在本例手术中展现出对扭曲解剖结构的出色适应性,针对该患者严重扭曲的瘤颈,支架系统的优异柔顺性使其能够顺利通过复杂路径,完成内脏分支血管的重建。

 

其独特的双内嵌、双外翻混合多分支设计兼顾了操作效率与结构可靠性,预置导丝系统简化了肠系膜上动脉(SMA)和腹腔干动脉(CA)的超选流程,显著提高手术效率。

 

专家简介

 

张鸿坤 教授


浙江大学医学院附属第一医院血管外科主任,主任医师、教授、博士生导师。

中华医学会外科分会血管外科学组委员,中国医师协会血管外科医师分会常务委员,浙江省医学会血管外科分会主任委员,浙江省医师协会血管外科分会会长,浙江省医学会介入医学分会副主任委员,临床工作中擅长微创腔内治疗复杂胸腹主动脉疾病且居于全国领先地位,创新性开展主动脉弓部腔内原位针刺开窗技术(完成全球最大单中心病例数)、腔内原位顺行针刺开窗重建主动脉内脏区血管、创新内脏动脉夹层的分型及诊治(拥有国际单中心最大病例数)。科研工作中多次获得浙江省政府和省卫健委科技进步一等奖和三等奖。先后主持国家自然科学基金3项,主持省杰青项目1 项、浙江省重点研发项目 2 项和浙江省“尖兵”攻关计划项目1项,总科研经费超过1500万。在JACC、Science Advance、 ESVS、JVS等顶级期刊及本专业高分杂志发表文章100余篇。

 


先健内脏分支全腔内重建解决方案

G-Branch胸腹主混合多分支支架型血管系统


b0c65ad2-0d33-4d29-81fe-6e7d7fc10765(1).png


1.其采用内嵌与外翻相结合的混合分支设计,最大化拓宽了器材的解剖适应症

2.主体支架近远端直径差异化和半释放设计,提高了分支重建过程中的手术安全性

3.预置导丝极大方便术者重建分支,降低了手术操作难度

4.清晰的标记使定位更加方便准确

5.良好的主体支架柔顺性,适应扭曲的血管形态

6.齐全的规格型号,可充分满足临床需求